![]() |
|
![]() |
|
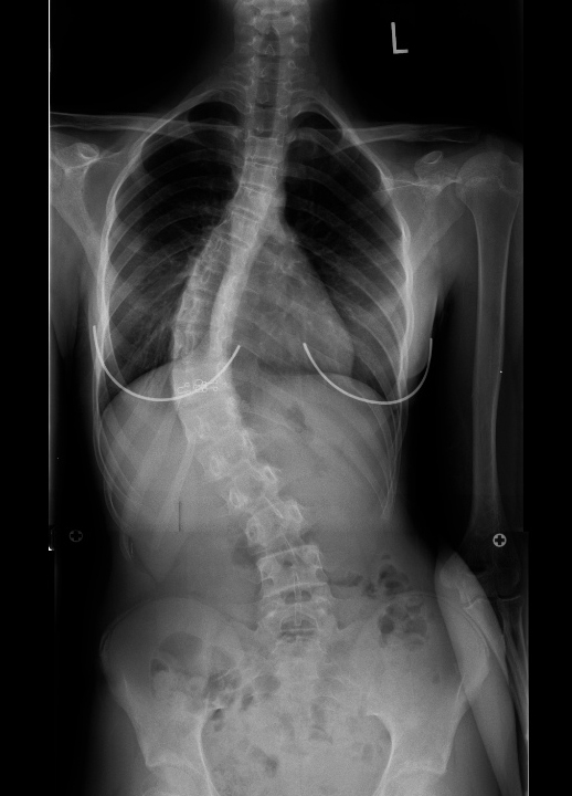
| Pre-op | Post-op |
For the entire story click here |
|
All of the content and images on this site are protected by United States and International copyright law and may not be downloaded,
copied, scanned, reproduced, published or altered in any way without written permission.
2009-2020

